

信息来源于@海关发布、中国医药信息查询平台、MSD诊疗手册、康健雜誌、香港卫生署。
出入境的时候,你可能会觉得海关有点烦,但如果没有他们把守国门,我们不知道得遭遇多少麻烦事情!你可以去看我的“海关截获”合集,里面有不少令人后怕的案例。
我已经好久没写“海关截获”系列了,回归的第一篇就相当重量级!看标题你就知道事情似乎很不简单,而且我敢保证标题可是一点都没有夸张。

2026年3月19日晚上,合肥海关所属合肥新桥机场海关在对入境航班进行监管。
旅客A在回国值机的时候,泰然自若地将自己的行李箱给托运了。晚上接近21点的时候,他到达机场了,选择了“绿色通道”入境的他过了安检,正在等待行李箱过机检。

不知道是他怀着“最危险的地方就是最安全的地方”的侥幸心理,还是真的无知,其行李箱里机检居然发现了有一袋看起来像是什么肉干的玩意儿,主要是这些东西是塑料袋包着的,不像是零食。

这样的玩意儿可太明显了,海关关员于是根据法律法规对他的行李进行开箱查验,马上就把那袋东西给掏了出来。倒是没有什么异味,里面的东西也确实是肉干,但却很像是老鼠的肉干!仔细检查后,发现这些玩意儿真的是剥皮了,内脏处理干净,压得扁扁的老鼠干!
一共有6只老鼠干,重量约0.205千克,就是4.1两。

旅客A努力维持着冷静,他表示这些老鼠干是他自己要吃的,他以为带点食物回来是没大不了的。在海关关员警觉的目光中,他被警察带走询问情况。
虽然报道没有说旅客A的后续情况,但根据流程来说,一般带了一些“禁止入内”的东西入境的旅客被教育后还是能入境的,除非他的性质很恶劣,足以让海关启动 “缉私”程序,才有可能被当场扣留。
实验室鉴定结果出来了,这些老鼠干都来源于黄胸鼠(Rattus flavipectus),这个物种广泛分布于东南亚的热带和亚热带区域,在我国也很多,在全国各地都有分布,尤其在长江以南的地区。

不过据说数量有所下降,主要是因为人们的卫生意识上升了;黄胸鼠本身比较喜欢农村环境或者木质房屋,现在城市化不断推进,它们在城乡的栖息地减少;然后它们打不过褐家鼠(Rattus norvegicus)之类更厉害的家鼠。

虽然老鼠是很普通的品种,但是实验室鉴定发现这6只鼠样本中居然有3种细菌,分别是钩端螺旋体1例、埃立克体1例、伯氏疏螺旋体3例;另外还有寄生虫巴贝西虫3例!

这听起来很难不让人害怕,我接下来会稍微讲解一下这些病原体。
根据《中华人民共和国禁止携带、寄递进境的动植物及其产品和其他检疫物名录》规定,(生或熟)肉类(含脏器类)及其制品、动物尸体、动物标本、动物源性废弃物,均禁止携带寄递进境。
公众号:海关发布咦……

钩端螺旋体(Leptospira)听起来很陌生,但其实并不罕见。它是一种外形呈细长螺旋状、两端形似小钩的细菌,种类非常多,分为致病性钩体及非致病性钩体两大类。

新闻报道没有说具体的品种,但应该是能引发人畜共患病钩体病的,这个病的民间俗称是“鼠尿病”。这些细菌会潜伏在老鼠、猪、牛等动物的尿液和被尿液污染的水、土和食物中,如果人类不小心摄入了,或者是受伤了,伤口接触这些玩意儿,就都可能被感染,
被感染者前期会出现类似败血病的症状,后期引发各种严重的多器官损害,最严重甚至会导致脑膜炎!据统计,全球每年约有100万重症病例,其中约6万人因此死亡。不过这种病只要发现的早,治疗率可达95%。

只要保持卫生一般不会中招。
然后埃立克体是蜱虫叮咬传播的细菌,会造成自然疫源性疾病埃立克体病(Ehrlichiosis),这种病细菌会入侵人体白细胞,在其中繁殖,让人类的免疫细胞的功能下降。

蜱虫传播的,那估计病例特别特别多,引发的症状每年都会有各种媒体科普,就是类似流感的症状,发烧、头痛、乏力等等。一般来说是很好治疗的,主要在户外活动的时候穿着长袖衣裤,一般不会被感染。

而这个伯氏疏螺旋体(Borrelia burgdorferi)也是蜱虫叮咬传播的细菌,是著名的疾病“莱姆病”的病原体。这种疾病非常麻烦!因为它会表现出非常多不同的临床症状,可能只是发烧头痛等流感样症状;可能会引发各种神经系统紊乱症状;也可能会有心脏炎症!

虽然早期发现是挺好治疗的,但是因为症状太多样,所以它非常容易被误诊。
预防的方式就还是预防蜱虫。
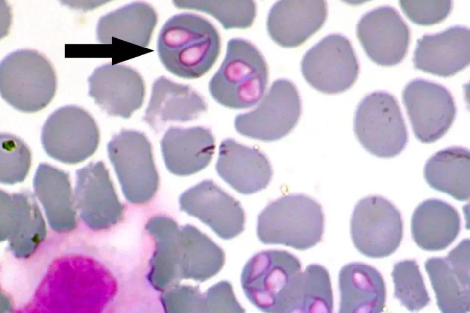
最后这个巴贝西虫就不是细菌了,它是一种寄生虫,喜欢寄生在各种动物的红细胞中,当然是包括人类的。它的传播途径依然是蜱虫的叮咬,主要是硬蜱科的物种。

其引发的“巴贝西虫病”的症状与疟疾很相似,严重程度根据个人的情况有所不同。很多免疫系统健全的人感染后就只是出现类似流感的症状,有时候都不知道自己生病了就痊愈了。但是对于免疫系统低下下的人,尤其是老年人,这种疾病就可能导致患者出现严重流感症状,红细胞被大量破坏却很难恢复,后期还可能出现溶血性贫血、黄疸和血红蛋白尿的情况。
最坏的情况甚至会因为多器官衰竭而死!
…………
我感觉这个旅客A应该不是故意要传播病原体回国,因为这些病原体都是原本就在我国存在的,而且大部分都是蜱虫引发的,他应该就是真的比较傻。
如果不是海关关员及时发现,他真自己吃了这些老鼠干,然后被这些病原体感染,那他真的是……
这个事情告诉我们:夏天要到了!大家一定要小心蜱虫!


长宏网配资提示:文章来自网络,不代表本站观点。